Lower Crowns


Upper Bridges


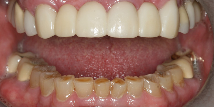
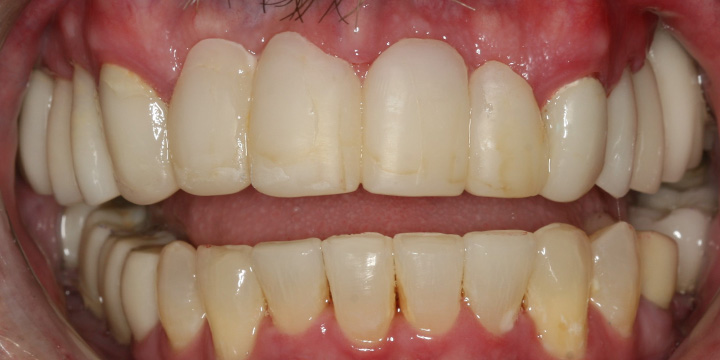
Full Mouth Reconstruction


Lower Crowns


Upper Dentures


Upper Anterior Crowns